美啊美所选项目:烤瓷牙
手术日期:2017年5月
医院名称:成都圣贝牙科医院
医生名字:张雷
手术价格:¥13000元
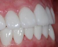
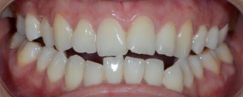
对比照片:

在成都圣贝牙科医院做全冠修复之前,跑了好几家小型牙科诊所但医生都建议做牙齿矫正,但因为工作原因不能带矫正器我就放弃了,而且矫正的话牙套要带一年多肯定不行的。

面诊后医生先观察给我说了几套方案,有矫正,有全冠修复,结合我自己的情况选择了全冠修复。医生还是大医院正规医院好,现在想想之前去的几家诊所应该是技术和仪器不到位所以不能做治疗吧。
全冠修复呢应用面比较广,可以修复牙齿形态、功能和美观,像我这种排列又乱牙齿又黄的很适合。
全冠修复很适合我,快速有效安全,很符合我的要求,最开始设计了DSD,还有牙模型。
全冠修复前模型:


全冠修复后模型:

后面又做了什么口内制作,牙体制作、模型咬合关系等,反正工序还是挺复杂的,后来又试戴了临时冠,最后就是真的牙齿了,效果很不错哦~完美的解决了我的多种问题,看看图片~

给医生10086个赞,完全不影响生活,牙齿不仅排列整齐了而且讨厌的黄色也去掉了,不过美中不足的是牙齿太白了点,有点不自然,希望牙齿之后能呈现健康的牙黄色。
