美啊美
	
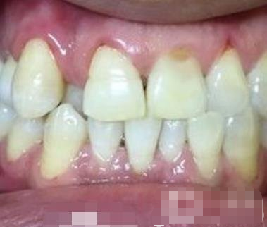
我现在生活的很幸福,有一个爱我的妻子,有一个可爱的宝宝,还有一份让人羡慕的工作,也许这些在你们眼中觉得稀松平常,对于我,这些来的真的不容易,以前的我啊,非常自卑,对任何事情都不敢向前,也因此错过了很多的好机会,大学有喜欢的女生,不敢表白,毕了业有好工作,又不敢去尝试。这些,都因为我的面貌问题,终究是因为我的牙齿问题,牙齿参差不齐,而且还发黄,因为牙齿外翘,弄到我的嘴巴合起来都感觉是个歪的。
	
后来经过朋友的介绍,我来到了贵州口腔医院,咨询医生,看看我的问题,能不能解决?医生给我做了详细的检查,***终告诉我这个问题,其实并不是很严重,牙齿畸形是可以做正畸手术来矫正的,只是比普通的牙齿矫正恢复期要稍微长一些,需要先把口腔内多余的牙齿拔掉,可能会痛一些,这些问题对于我这个迫切想改变的人来说都不是问题。
	
很快,我和医生约好了,做手术的时间,手术前医生给我做了口腔消毒,打麻药,没有任何痛感的情况下,手术完成了。手术后前几天确实是很不舒服,不能吃不能喝的,只能吃点流食,喝点小米粥,稀饭什么的,等牙不疼了之后也还是要注意饮食的,甜的酸的粘的硬的,这些都是要注意的,而且还不能吃辛辣的食品,时刻注意口腔卫生,饭前漱口,饭后漱口,还有一天三次的刷牙,时刻保持口腔内部清洁,而且刷牙的时候还要避开牙套,以免牙套脱落。
	
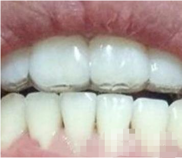
恢复的时间是漫长的,可相比于以前我的样子,现在虽然带了个牙套,有些不太舒服,可是我还是发现了改变。我的面貌,在不知不觉中变得帅气了,好像变了一个人,牙齿变得好整齐。
摘掉牙套的那一刻,我非常的激动,真的非常感谢贵州口腔医院的医生,是你们让我不再自卑,重拾自信,争取自己的幸福。现在幸福的生活都是因为我选择了正畸手术。
| 贵阳口腔医院项目价格表 | |
| 整形项目 | 价格参考 | 
| 3DS超薄瓷贴面 | 3555-8590 | 
| 牙齿瓷贴面 | 1490-10719 | 
| E-MAX | 2341-15952 | 
| 3D全瓷牙贴面 | 1403-17600 | 
| Mega隐形瓷贴面 | 2660-16725 | 
| 美国皓齿 | 1856-16132 | 
| 瓷贴面 | 1833-16499 | 
| 烤瓷牙补牙 | 1428-12918 | 
| 烤瓷牙种植 | 1944-24731 | 
| 全瓷牙种植 | 2926-29684 | 
| 合金烤瓷牙 | 2501-25507 | 
| 贵金属烤瓷牙 | 2854-26633 | 
| 二氧化锆全瓷牙 | 2761-31042 | 
| 镶牙 | 1611-12424 | 
| 牙冠 | 2421-29465 | 
| 前突牙 | 2470-31602 | 
| 内收牙 | 2502-26134 | 
| 牙齿脱落 | 2532-26490 | 
| 微创种植 | 2447-25786 | 
| 活动假牙 | 2954-32353 | 
| 假牙 | 2729-26116 | 
| 美容冠 | 1240-3815 | 
| 龅牙矫正 | 4534-11519 | 
| 地包牙矫正 | 4964-12575 | 
| 虎牙矫正 | 2556-12683 | 
| 牙齿不齐 | 1109-10035 | 
| 牙齿稀疏 | 1221-10546 | 
| 牙齿拥挤 | 4954-22418 | 
| 隐适美 | 7396-91560 | 
| 隐形正畸 | 9772-89690 | 
| 金属托槽矫正 | 8021-102865 | 
| 自锁托槽矫正 | 9473-88985 | 
| 透明托槽矫正 | 8579-101803 | 
| 透明隐形矫正 | 7100-100937 | 
| 隐形矫正 | 8047-83180 | 
| 隐形牙套 | 7780-86338 | 
| 牙齿拥挤矫正 | 7152-95462 | 
| 地包天矫正 | 9980-98549 | 
| 凸嘴矫正 | 7402-101719 | 
| 金属托槽 | 8140-99893 | 
| 半隐型矫正 | 8819-84060 | 
| 陶瓷矫正 | 9945-103845 | 
| 深覆颌 | 7785-92473 | 
| 牙套 | 7145-93280 | 
| 牙颌畸形 | 9081-101660 | 
| 补牙 | 770-10487 | 
| 牙齿缺损修复 | 1403-10640 | 
| 坏牙 | 1283-10620 | 
| 蛀牙 | 1345-11023 | 
| 拔智齿 | 1172-12163 | 
| 牙齿综合 | 1182-10982 | 
| 根管治疗 | 1171-10926 | 
| 牙周护理 | 1328-11712 | 
| 牙渍 | 1444-11857 | 
| 阻生牙 | 1052-10938 | 
| 隐裂牙 | 1170-11638 | 
| 多生牙 | 1408-10990 | 
| 磨牙 | 1485-12544 | 
| 塞牙 | 1459-11507 | 
| 牙缝变大 | 1391-12324 | 
| 龋齿 | 1245-10207 | 
| 牙齿断裂 | 1176-11015 | 
| 虫牙 | 1104-12870 | 
| 牙洞 | 1266-12497 | 
| 树脂补牙 | 1227-12513 | 
| 浅龋 | 1144-10316 | 
| 中龋 | 1134-12699 | 
| 深龋 | 1220-12594 | 
| 3M树脂补牙 | 1400-12319 | 
| 烂牙 | 1282-11590 | 
| 牙齿龋坏 | 1489-12893 | 
| 微创根管 | 1393-10734 | 
| 牙痛 | 1437-11096 | 
| 牙磨损 | 1286-12538 | 
| 牙脱位 | 1415-10718 | 
| 牙齿外伤 | 1234-11346 | 
| 超声波洁牙 | 455-2254 | 
| 咖啡牙美白 | 402-2005 | 
| 喷砂洁牙 | 335-2316 | 
| 色素牙美白 | 417-8122 | 
| 四环素牙美白 | 478-7112 | 
| 洗牙 | 344-2016 | 
| 牙齿冷光美白 | 445-2361 | 
| 牙齿抛光 | 341-1628 | 
| 牙齿漂白 | 421-2094 | 
| 烟渍牙美白 | 485-2258 | 
| 冷光美白 | 458-2079 | 
| 皓齿美白 | 422-2091 | 
| 牙黄变白 | 472-2231 | 
| 氟斑牙美白 | 500-2301 | 
| 变色牙美白 | 481-2211 | 
| 黑牙美白 | 457-2389 | 
| 茶渍牙美白 | 459-2168 | 
| 牙美白 | 497-2334 | 
| 半口牙种植 | 50301-121588 | 
| 单颗牙种植 | 13457-31648 | 
| 多颗牙种植 | 27424-171024 | 
| 后牙种植 | 14719-60292 | 
| 前牙种植 | 9049-33669 | 
| 全口牙种植 | 71080-260731 | 
| 种植牙/颗 | 8471-15933 | 
| 瑞士ITI种植牙/颗 | 9265-18508 | 
| 美国3I种植牙/颗 | 9226-16647 | 
| 德国费亚丹种植牙/颗 | 8987-16494 | 
| 瑞典诺贝尔种植牙/颗 | 9600-17357 | 
| 德国贝格种植牙/颗 | 8684-15813 | 
| 美国百康种植牙/颗 | 9059-18382 | 
| 瑞典诺贝尔种植/颗 | 9831-18922 | 
| ITI瑞锆种植牙/颗 | 9057-17495 | 
| 奥齿泰种植牙/颗 | 9439-17657 | 
| 韩国登特斯种植牙/颗 | 9326-16280 | 
| 韩国奥齿泰种植牙/颗 | 8269-19126 | 
| 韩国登腾种植牙/颗 | 9154-17383 | 
| 进口种植牙/颗 | 8881-15104 | 
| 国产种植牙 | 5139-11298 | 
| 以上价格仅供参考,实际价格请到医院面诊获取! | |